华中科技大学研究利用PDO揭秘胆管癌胆固醇代谢依赖,开辟精准治疗新路径-技术前沿-资讯-生物在线

华中科技大学研究利用PDO揭秘胆管癌胆固醇代谢依赖,开辟精准治疗新路径

作者:苏州近岸蛋白质科技股份有限公司 2025-10-22T00:00 (访问量:26960)

胆管癌(CCA)是第二常见的原发性肝脏恶性肿瘤,5年生存率仅为5%-15%,且发病率与死亡率持续上升。尽管在分子肿瘤学领域取得了进展,但胆管癌的预后仍然很差,这凸显了开发全新治疗靶点的迫切需求。

 

2025年7月31日,华中科技大学同济医学院附属同济医院会同湖北省肝胆胰疾病重点实验室、国家卫生健康委器官移植重点实验室团队,共同在期刊Gut发表论文“Targeting Aurora kinase B regulates cholesterol metabolism and enhances chemoimmunotherapy in cholangiocarcinoma”,通过CRISPR/Cas9敲除筛选,发现Aurora激酶B(AURKB)在CCA中高表达且具有强依赖性。作者在CCA来源类器官(PDO)模型中验证后发现,AURKB通过增强肿瘤内游离胆固醇的生成促进CCA的进展,而敲除AURKB能够显著改善CCA免疫微环境、增强T细胞抗肿瘤活性,相关抑制剂AZD1152与吉西他滨的联合使用更是显示出显著的协同效应,能够显著增强胆管癌对化疗和免疫治疗的敏感性。总之,本文使用类器官平台揭示了AURKB在CCA中的依赖性与治疗潜力,为临床转化提供了实验和模型依据。

图片

 

01 潜在靶点的筛选与验证

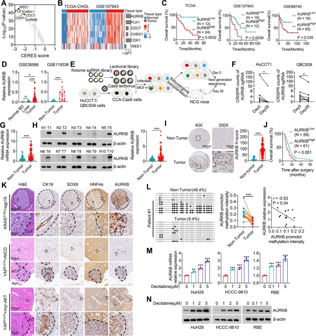
研究团队首先在23条CCA细胞系中,利用基于DepMap数据库设计的CRISPR/Cas9 sgRNA文库筛选,鉴定出包括AURKB在内的六种关键激酶依赖靶点。其中,AURKB较其他激酶上调水平最显著且与不良预后相关,且AURKB仅在肿瘤组织中表达。

图片

图:AURKB是CCA的特异性依赖基因,其高表达提示预后不良

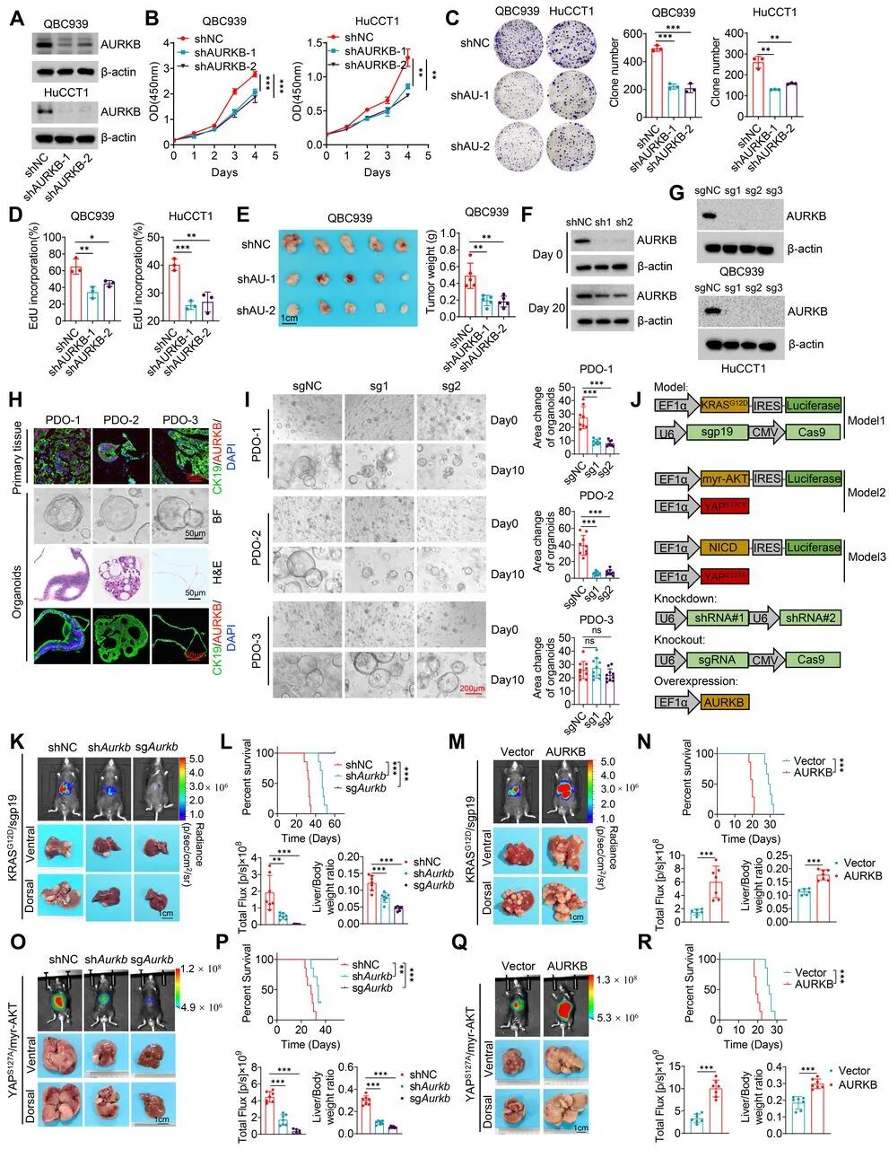
为了验证AURKB在胆管癌中的作用,在常规细胞系之外,团队还从多位胆管癌患者的肿瘤组织中分别构建了类器官模型(PDOs)。这些类器官保留了患者特异性以及原代肿瘤的分子及结构特性,在含有EGF、FGF、R-spondin1等生长因子的专用培养基中扩增,是理想的体外实验平台。团队随后在包括PDOs在内的多种平台上进行了AURKB敲除或抑制实验,结果发现,典型的高AURKB表达的PDOs与体内小鼠模型均出现显著的生长抑制。该结果凸显了AURKB在类器官体系中对CCA生长的关键依赖性

 

不过,需要注意的是,由于患者分子背景不同,部分PDOs的AURKB表达接近正常水平,因此未收到敲除实验的影响,该结果也提示,AURKB靶向治疗需要先对患者进行分子分型(如IHC或RNA测序判断AURKB表达水平)来筛选适用人群

图片

图:PDOs和体内实验共同确认,AURKB在胆管癌的进展中起着不可或缺的作用

 

02 AURKB对胆固醇代谢的调控机制

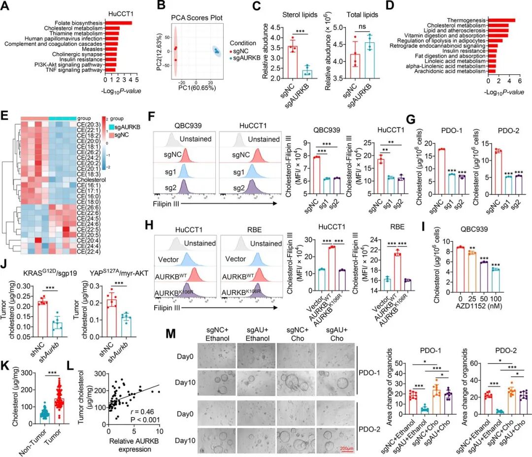
接下来,RNA-seq和靶向脂质组学揭示,AURKB的缺失显著下调胆固醇代谢通路,导致胆固醇酯水平及总胆固醇含量减少。这一效应依赖于AURKB的激酶活性。与此一致的是,临床CCA组织的胆固醇水平高于邻近正常组织,且与AURKB表达正相关。

图片

图:AURKB 通过 NCEH1 增加肿瘤内的胆固醇水平

 

在PDO培养体系中,研究团队发现,AURKB缺失导致胆固醇减少,从而抑制细胞增殖。而外源性胆固醇补充可绕过AURKB通路,部分逆转AURKB缺失导致的生长抑制。相比2D细胞系,PDO更能保留患者肿瘤在胆固醇积累和代谢通路上的原始特征,验证了AURKB–胆固醇轴在原发性组织中的生物学意义,再次证明AURKB主要通过促进游离胆固醇生成驱动CCA进展 

 

图片

图:AURKB通过增强肿瘤内胆固醇的生成来促进CCA的进展

 

03 AURKB影响免疫微环境

研究团队还发现,AURKB的缺失能够显著改善胆管癌的免疫微环境。scRNA-Seq分析显示,AURKB缺失的胆管癌模型中T细胞(尤其CD8⁺)比例增加,且这些T细胞表现出更强的细胞毒性功能和更低的耗竭水平。这一效应可以通过胆固醇补充来逆转。

 

以上结果进一步证实,AURKB通过胆固醇依赖性途径调节T细胞功能、介导免疫机制,具有成为临床靶点的可行性

图片

图:AURKB 通过增加肿瘤中的游离胆固醇来破坏 CCA 的抗肿瘤免疫微环境

 

04 靶向AURKB的治疗策略

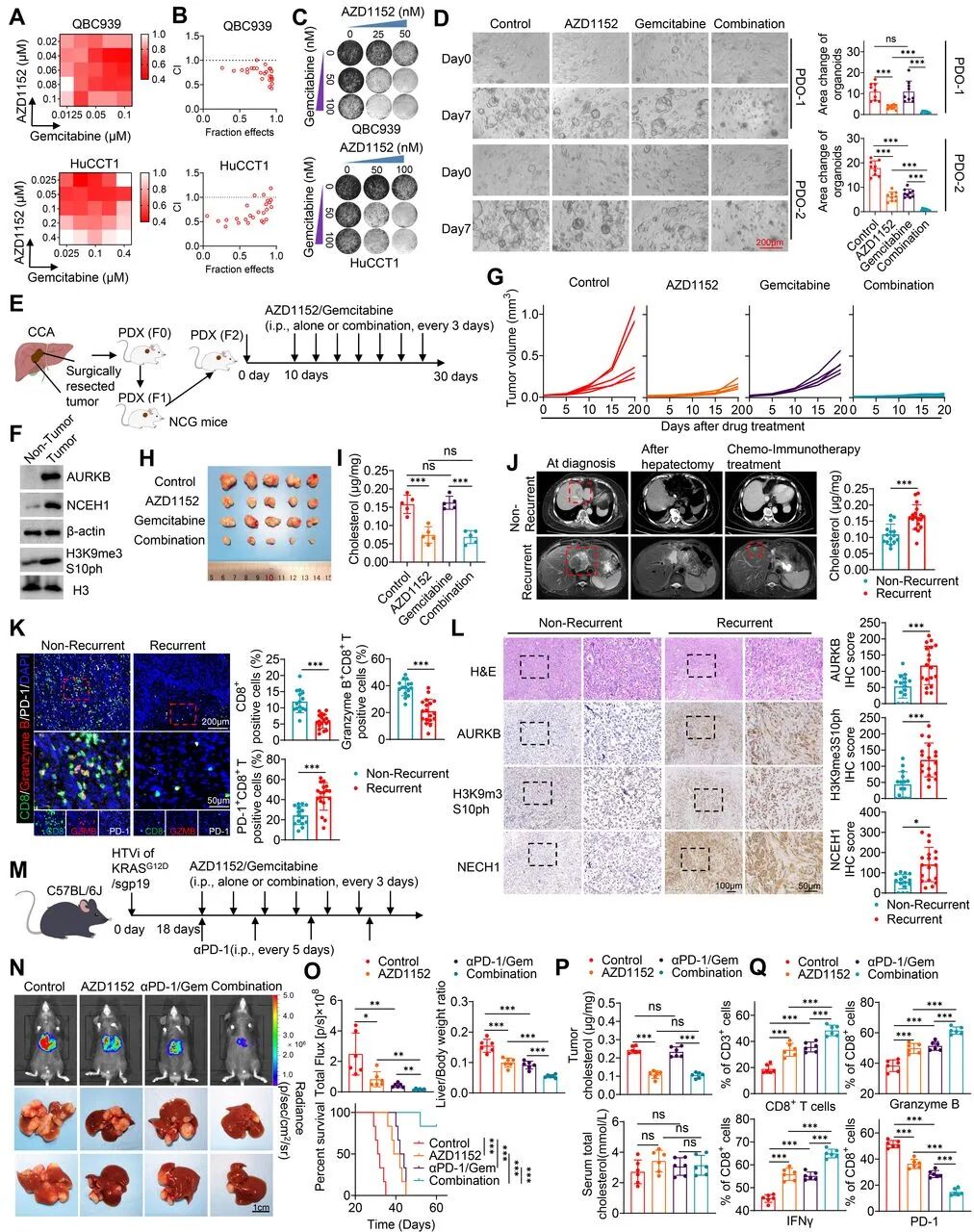
基于上述发现,研究团队进一步探索了靶向AURKB的治疗策略。他们发现,在体内实验中,AURKB抑制剂AZD1152单独使用或与吉西他滨联合使用均降低了肿瘤中的胆固醇水平,显著增强胆管癌对化疗和免疫治疗的敏感性,并抑制了肿瘤的生长。在体外类器官模型中,AZD1152与吉西他滨(gemcitabine)的联合使用显示出显著的协同效应(CI值<1),且未观察到合成致死性,支持两药在临床上能够更有效地抑制胆管癌细胞的增殖。这一结果在类器官体系中更具临床相关性,因为PDO能够保留肿瘤间的异质性及原发组织中的药物敏感特征。

图片

图:靶向AURKB可增强CCA治疗中对化学免疫疗法的敏感性

 

05 总结

本研究通过系统性的筛选和多组学分析,揭示了AURKB在胆管癌中的关键作用,并提出了靶向AURKB或降低胆固醇水平的新治疗策略。这一策略有望显著改善胆管癌患者的预后,并为临床治疗提供新的选择。此外,本研究还揭示了胆固醇代谢与肿瘤免疫微环境之间的密切联系,为理解肿瘤免疫逃逸机制提供了新的视角。

 

图片

图:服用辛伐他汀可抑制胆管癌进展并增强化学免疫疗法的效果

 

本文中,患者来源类器官(PDOs)的使用确保了对靶点AURKB的高保真性。PDO保留了CCA组织特有的胆固醇代谢特征,使得代谢-表型关联实验更贴近生理条件,因此不仅为揭示CCA关键驱动基因提供了更可靠的平台,也为代谢机制和联合用药的研究奠定了高度生理相关的模型基础,凸显了类器官这一新型技术在新药筛选和方案优化中的应用前景

 

近岸蛋白相关产品

近岸蛋白提供多种类器官体外培养全方案,包括基质胶、培养基、相关细胞因子等:

经类器官培养验证的完全培养基

图片

 

经类器官培养验证的细胞因子

图片

 

NovoMatrix 基质胶

图片

 

 

参考资料

Liu F, Chen W, Zhang Z, et al. Targeting Aurora kinase B regulates cholesterol metabolism and enhances chemoimmunotherapy in cholangiocarcinoma. Gut. Published online July 31, 2025. doi:10.1136/gutjnl-2025-335291

苏州近岸蛋白质科技股份有限公司 商家主页

地 址: 上海市浦东新区伽利略路11号

联系人: 舒小姐

电 话: 021-50798060,400-600-0940

传 真:

Email:product@novoprotein.com.cn

相关咨询
ADVERTISEMENT